رئيس مجلس الادارة
د/إلهام صلاح
رئيس التحرير
وليد الغمرى
facebook
twitter
youtube
instagram
محليات وسياسة
اقتصاد
محافظات
رياضة
حوادث
فن
لايف استايل
المقالات
توك شو
البحث
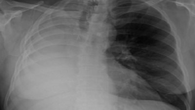
مريض السرطان
تحذير عاجل .. 15 علامة تؤكد الإصابة بالسرطان.. تعرف عليهم
الجمعة 25/يونيو/2021 - 01:42 م
"بعد خمس سنوات".. تفاصيل ولادة أول طفل في العالم من بويضة مجمدة
الأربعاء 19/فبراير/2020 - 02:45 م
بـ"ثقب المفتاح".. بريطانيا تجري أول عملية لإزالة رئة مريض بالسرطان
الإثنين 27/يناير/2020 - 04:20 م
تفاصيل استخراج كارت ركوب القطار "المجاني" لمرضى السرطان
الإثنين 04/فبراير/2019 - 11:47 ص