رئيس مجلس الادارة
د/إلهام صلاح
رئيس التحرير
وليد الغمرى
facebook
twitter
youtube
instagram
محليات وسياسة
اقتصاد
محافظات
رياضة
حوادث
فن
لايف استايل
المقالات
توك شو
البحث
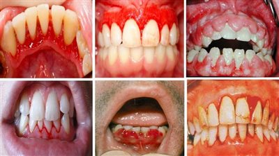
مضادات الالتهابات
استشاري يوضح أسباب وعلاج أمراض اللثة المختلفة
الخميس 11/يوليو/2019 - 08:14 م
خبيرة تغذية: 5 أطعمة بديلة للمسكنات
السبت 06/يوليو/2019 - 10:02 م